Diagnostyka stomatologiczna w Best Way Dent
– RTG zęba, tomografia, pantomogram, cefalometria

Dokładna diagnoza jest kluczowa dla skutecznego leczenia stomatologicznego.
W Best Way Dent, zapewniamy zaawansowane usługi diagnostyczne, które pozwalają na precyzyjne ocenienie stanu jamy ustnej.
Dzięki nowoczesnym technologiom i doświadczeniu naszych specjalistów możemy szybko i skutecznie wykrywać problemy, co pozwala na opracowanie indywidualnego planu leczenia.
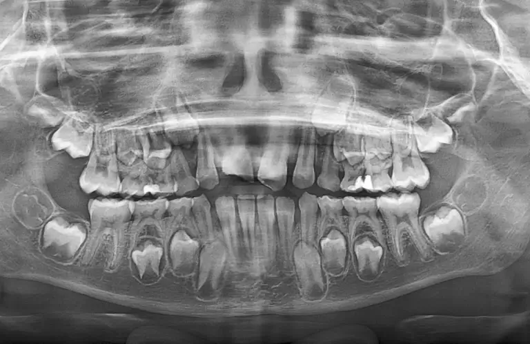
Oferujemy:
- RTG zębów – standardowe zdjęcie rentgenowskie, które pozwala na ocenę stanu zębów oraz struktur okołozębnych, umożliwiając wykrycie próchnicy, zmian w korzeniach czy infekcji.
- Pantomogram – zdjęcie rentgenowskie, które obejmuje całą szczękę i żuchwę, idealne do diagnostyki problemów z zębami, kośćmi oraz przyzębiem.
- Cefalometria – zdjęcie służące do analizy układu zębów oraz struktur twarzoczaszki. Jest to szczególnie pomocne w ortodoncji, umożliwiając dokładną ocenę wady zgryzu.
- CBCT (Tomografia stożkowa) – zaawansowana technika obrazowania 3D, która dostarcza szczegółowych obrazów kości szczęki i żuchwy. Jest niezastąpiona w implantologii i planowaniu zabiegów chirurgicznych, pozwalając na dokładną ocenę przed leczeniem.









